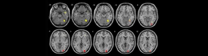
In grapheme-colour synaesthesia (GCS), people see certain letters (known as inducers) as having specific colours (known as concurrents). These additional perceptual experiences provide a unique window onto the neural mechanisms of consciousness, which we are exploring in a large-scale fMRI study comparing synaesthetes and controls. A key question is whether synaesthetic colour experiences activate colour-specific brain regions in the cortex (e.g., V4). The existing literature is rather mixed on this point, so we are examining how individual differences in how synaesthetes experience their additional colours may account for differences in their brain responses. We are also interested in seeing whether synaesthetes process real colours differently from non-synaesthetes.
People:
Cassandra Gould, Anil Seth, Jamie Ward, Sarah Garfinkel, Dan Bor
Reference:
Gould, C.G., Garfinkel, S., Bor, D., Ward, J., and Seth, A.K. (2013). BOLD activation in colour-selective areas is modulated by subjective experience in grapheme-colour synaesthesia. Association for the Scientific Study of Consciousness, 17th Annual Meeting, San Diego, CA.
