Theodora Duka and Dai Stephens
Insights into alcohol dependence, a chronic neurodegenerative condition with important cognitive and emotional consequences


A
B
A. Insula, orbitofrontal cortex and primary motor cortex are activated less in alcoholic patients with more than two detoxifications.
B. Brain activity enhancement uniquely associated with incentive conflict in healthy volunteers: superior frontal gyrus, ventromedial prefrontal cortex, gyrus rectus, putamen and supplementary motor area
Detoxifying alcoholic patients is a necessary first step in their treatment; but detoxifications have risks of their own.
Research focus
Alcohol abuse and dependence affects 4% of the adult population in the UK, while hazardous and harmful alcohol use affects a further 23% . In 2007/08 there were 863,300 alcohol related admissions to hospital, an increase of 69 per cent since 2002/03. Alcohol dependence has severe consequences for the life of dependent individuals, their families and friends, work colleagues and customers, as well as for the health and social services, the police and the general public. It has been estimated that alcohol dependence costs the NHS in England alone £2.7 billion annually, while alcohol misuse is estimated to cost the economy £20bn per annum in England.
Giving up alcohol is not easy, and the treatments available to help abstention are only patchily successful. During treatment, the first step is usually to help the patient stop drinking. Sometimes this is supervised by general practitioners, with the patient continuing to live as normal a life as possible, but often such detoxification involves a stay in a clinic for a week or so. In order to avoid the most severe symptoms of withdrawing from alcohol, patients are usually treated with drugs such as Librium® or Heminevrin® that help prevent withdrawal convulsions, but these are not treatments for alcohol abuse.
Following successful detoxification, patients are allowed to leave the clinic, or GP supervision, and resume their normal lives. Frequently, this means a return to drinking (relapse) within days or months, starting the whole process over again. Over a lifetime, some patients will undergo tens or even hundreds of such detoxification – relapse cycles.
But here’s the problem. With each detoxification, the risk of seizures increases, as a result of changes in the brain that make it more excitable. While the seizures can be avoided using the anti-seizure drugs mentioned above, other brain changes occur that the anti-seizure drugs do little to prevent.
Over the past ten years, with the Support of successive Medical Research Council Programme grants, we have been carrying out a series of studies in both laboratory animals, and in alcoholic patients to discover how experience of detoxification affects the brain and subsequent behaviour. We have found that alcoholic patients who experience multiple detoxifications show a reduced ability to concentrate and regulate their behaviour (Duka et al, 2003) and show more negative emotions (Duka et al, 2002). In one set of experiments, we have found that multiple episodes of detoxification lead to impairments in processing emotional reactions. Having discovered in animals that repeated experience of alcohol withdrawal impairs learning about threatening events (Stephens et al, 2001), we looked for, and found the same effect following multiple detoxifications in alcoholic patients (Stephens and Duka, 2008). Further animal studies (Stephens et al, 2005) revealed that the likely reason is that withdrawal from alcohol reduces the ability of synapses in a part of the brain, the amygdala, involved in processing fear, to show long term potentiation, a phenomenon that underlies learning.
The same part of the brain is responsible for the very human ability to interpret fear in the facial expression of others, and multiply detoxified patients are impaired at this, too (Townsend & Duka, 2003). Recently we have been able to show that presentation of pictures of fearful faces to alcoholic patients is also less effective in activating prefrontal brain areas that normally enable us to control our emotional responses (O’Daly et al, 2012), so that these patients both misinterpret fear signals, and are less able to govern their reaction to them.


A
B
A. Examples of fearful and neutral facial expressions presented to alcoholic patients in the scanner
B. Activation of brain areas in response to fearful faces. Picture shows areas that differed between alcoholic patients and healthy subjects.
Related parts of the prefrontal cortex are involved in so-called executive functions – planning, and monitoring and vetoing our every-day actions and we have shown that alcoholics with repeated detoxifications are impaired in such functions. In alcoholic patients, ability to monitor ongoing behaviour is particularly important in the conflict between the executive decision to abstain, and the desire to drink. We developed a computer game in which the player could win money if they responded when either of two abstract symbols appeared on the screen; however, when both symbols appeared together, instead of winning twice as much, they lost money. This way, the players had to decide whether to take a reward, or to abstain. Multiply-detoxified alcoholics were just as good as normal subjects in responding to win money, but they were unable to stop responding when they needed to apply the information that the combined symbol meant they would lose money. During this game, healthy individuals showed activation of particular regions of the prefrontal cortex when the mixed information told them button pressing would lose them money (see brain images below), and precisely the same areas were found to be shrunken in the multiply detoxified patients, so they don’t function as well in controlling the urge to press for reward (Duka et al, 2011).


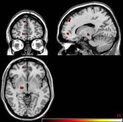
A
B
A. fMRI image obtained from healthy volunteers during performance of the incentive conflict computer game showing activation in the ventromedial prefrontal cortex. This area is activated when the volunteer has to decide not to respond when presented with two symbols, which when presented singly inform that money can be won.
B. Exactly the same area (indicated with the number 2) shows shrinkage in alcoholic patients who have undergone several episodes of detoxification
Both of these effects can increase the risk of further relapse as the abstaining patient loses control of the desire to drink, and the impaired emotional processing leads to social isolation, in turn supporting further drinking behaviour. Thus, repeatedly detoxifying alcoholic patients seems to lead to changes in brain function that make it more difficult for them to abstain in the future. This leaves the physician with an awkward decision. If the patient carries on drinking, they will prolong the problems for themselves and society, eventually damaging their liver, and perhaps die from cirrhosis. But if they stop, the detoxification itself may cause changes in the brain that affect their behavioural competence, and ability to control their drinking. The obvious conclusion is that the first detoxification has to be successful in weaning the patient off alcohol, but lack of resources often means that help in avoiding relapse is not readily available.
Our next step is to find ways in which we can improve the patients’ ability to control their emotional and motivational impulses, so that they do not relapse following detoxification. Testing new drugs that restore brain function will be part of that effort.
Supported by the Medical Research Council, and the European cross-border cooperation programme INTERREG IVa France (Channel)-England, and the European Commission 6th Framework Program IMAGEN - Reinforcement-related behaviour in normal brain function and psychopathology.
Key researchers
Theodora Duka, Professor in Experimental Psychology, School of Psychology, University of Sussex
Dai Stephens, Professor in Experimental Psychology, School of Psychology, University of Sussex
Tamzin Ripley, Lecturer in Psychology, School of Psychology, University of Sussex
Hugo Critchley, Professor of Psychiatry, Brighton and Sussex Medical School, University of Sussex
Leanne Trick, Research Fellow, School of Psychology, University of Sussex.
Kiki Nikolaou, Research Fellow, School of Psychology, University of Sussex
Relevant publications
Duka T. Townshend JM, Collier K, Stephens DN (2003) Impairment in cognitive functions after multiple detoxifications in alcoholic inpatients. Alcohol Clin Exp Res., 10:1563-72.
Duka T, Townshend JM, Collier K, Stephens DN. (2002) Kindling of withdrawal: A study of craving and anxiety after multiple detoxifications in alcoholic inpatients. Alcohol Clin Exp Res. 6:785-95.
Duka T, Trick L, Nikolaou K, Gray MA, Kempton MJ, Williams H, Williams SC, Critchley HD, Stephens DN (2011): Unique Brain Areas Associated with Abstinence Control Are Damaged in Multiply Detoxified Alcoholics. Biol Psychiatry. In press.
O'Daly OG, Trick L, Scaife J, Marshall J, Ball D, Phillips ML, Williams SS, Stephens DN, Duka T. Withdrawal-Associated Increases and Decreases in Functional Neural Connectivity Associated with Altered Emotional Regulation in Alcoholism. Neuropsychopharmacology. 2012 May 23. doi: 10.1038/npp.2012.77. [Epub ahead of print]
Stephens DN, Brown G, Duka T, Ripley TL (2001): Impaired fear conditioning but enhanced seizure sensitivity in rats given repeated experience of withdrawal from alcohol. Eur J Neurosci. 14:2023-2031.
Stephens DN, Ripley TL, Borlikova G, Schubert M, Albrecht D, Hogarth L, Duka T. (2005) Repeated ethanol exposure and withdrawal impairs human fear conditioning and depresses long-term potentiation in rat amygdala and hippocampus. Biol Psychiatry. 58:392-400.
Stephens DN, Duka T (2008): Review. Cognitive and emotional consequences of binge drinking: role of amygdala and prefrontal cortex. Philos Trans R Soc Lond B Biol Sci. 363:3169-3179.
Townshend JM, Duka T (2003): Mixed emotions: alcoholics' impairments in the recognition of specific emotional facial expressions. Neuropsychologia. 41:773-782.
