Jenny Rusted
Neural signatures of the APOE e4 genetic predisposition to Alzheimer's Disease in a healthy population.
Research focus
Alzheimer’s disease is the most common form of dementia that affects adults over the age of sixty. It is linked to various risk factors, with a genetic predisposition showing the strongest association. Specifically, individuals with the apolipoprotein E e4 genotype (about 20% of the population) have an increased risk of developing Alzheimer type dementia in their lifetime, and of developing the dementia earlier in their late adulthood.
Most currently prescribed compounds that are offered for symptomatic treatment of Alzheimer-type dementia (e.g. loss of attention and memory) act on one particular brain neurotransmitter system, namely, the cholinergic system. Receptors in this system can be stimulated by the compound nicotine – and in fact, nicotinic receptor stimulation has been repeatedly reported to improve performance in measures of attention and memory and is being explored as a potential therapeutic agent for people with memory loss.
While representing a risk for Alzheimer’s in the aged population, the e4 genetic variant has been associated in some studies with superior cognitive performance in young adults. Moreover, we (and others) have reported recently that younger adults who carry the e4 variant show greater cognitive enhancement from nicotinic receptor stimulation than do non-e4 populations (Marchant, King, Tabet, & Rusted, 2010; Rusted, Ruest, & Gray, 2010).
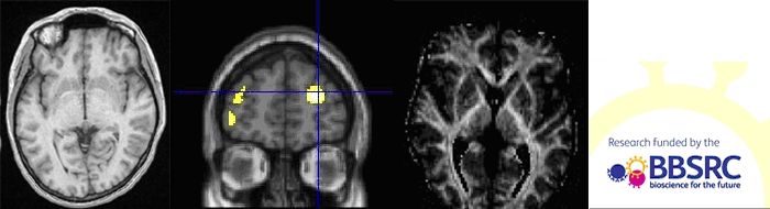
Below are examples of structural images/movies that may reveal important differences between the genotypes.


The movie on the left depicts how the brain is organised structurally, while the movie on the right shows how connections between brain areas (fiber tracts) are laid out.
This programme of research explores these paradoxical findings. Funded by the BBSRC, we are examining cognitive performance in healthy young and mid-aged adult populations. In addition to providing a cognitive profile of e4 population across this wider age range, we are using sophisticated brain imaging techniques to chart the brain activity patterns associated with performance measures in the e4 and non-e4 participants under normal conditions and in response to nicotinic receptor stimulation.
We hope this work will better define the cognitive profile associated with the e4 genotype and also the conditions under which it can best be supported in older adulthood.
Key researchers
Prof Jenny Rusted, Professor in Experimental Psychology, School of Psychology, University of Sussex
Relevant weblinks:
http://www.sussex.ac.uk/profiles/2316
http://www.bsms.ac.uk/research/cisc/research
Dr Simon Evans, Post Doctoral Researcher, School of Psychology, University of Sussex
Relevant weblinks:
http://www.sussex.ac.uk/profiles/277290
http://www.bsms.ac.uk/research/cisc/research
Dr Sarah King, Lecturer in Behavioural Neuroscience, University of Sussex
Relevant weblinks:
http://www.sussex.ac.uk/psychology/people/peoplelists/person/9946
Dr Nick Dowell, Lecturer in Imaging Physics, Brighton and Sussex Medical School
Special interest: Quantitative MRI of the brain.
Relevant weblinks:
http://www.sussex.ac.uk/Users/bsms1623/participate/index.html
http://www.bsms.ac.uk/research/cisc/research
Prof Paul Tofts, Emeritus Professor, Brighton and Sussex Medical School
Special interest: Quantitative MRI of the brain: measuring changes caused by disease.
Relevant weblinks:
http://www.paul-tofts-phd.org.uk
http://www.qmri.org
Dr Naji Tabet, Senior Lecturer in Old Age Psychiatry, Brighton and Sussex Medical School
Relevant weblinks:
http://www.bsms.ac.uk/research/our-researchers/naji-tabet/
Poster presentations
Society for Neuroscience 2011:
"Neural signatures of the APOE e4 genetic predisposition to Alzheimer's Disease in healthy young adults”
King SL, Ruest T, Broulidakis J, Dowell NG, Rusted JM
British Association for Psychopharmacology 2012:
“Nicotine enhances prospective memory performance in APOE E4 carriers: an fMRI study”
Evans SL, Gray M, Dowell NG, King SL, Tabet N, Tofts PS, Rusted JM
Relevant publications
Dowell, Nicholas G, Ruest, Torsten, Evans, Simon L, King, Sarah L, Tabet, Naji, Tofts, Paul S and Rusted, Jennifer M (2013) MRI of carriers of the apolipoprotein E e4 allele-evidence for structural differences in normal-appearing brain tissue in e4+ relative to e4- young adults. NMR in Biomedicine, 26 (6). pp. 674-682.
Rusted, J M, Evans, S L, King, S L, Dowell, N G, Tabet, N and Tofts, P S (2013) APOE e4 polymorphism in young adults is associated with improved attention and indexed by distinct neural signatures. NeuroImage, 65 (1). pp. 364-373.
Evans, Simon, Gray, Marcus A, Dowell, Nicholas, Tabet, Naji, Tofts, Paul S, King, Sarah and Rusted, Jennifer M (2012) APOE E4 carriers show prospective memory enhancement under nicotine, and evidence for specialisation within medial BA10. Neuropsychopharmacology. (In Press)
Marchant, Natalie L, King, Sarah L, Tabet, Naji and Rusted, Jennifer M (2010) Positive effects of cholinergic stimulation favor young APOE epsilon4 carriers. Neuropsychopharmacology : official publication of the American College of Neuropsychopharmacology, 35 (5). pp. 1090-6.
